Table of Contents
« prev
next »
Washington University Experience
|
NEOPLASMS (EMBRYONAL)
|
ETMR - Embryonal Tumor Multilayered Rosettes
|
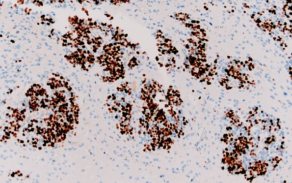
8G3 ETMR (Case 8) B1 Ki67 40X 1
Not surprisingly the embryonal rosettes show strong Ki67 immunoreactivity. (Ki67 IHC)
Image Info
Camera Maker:
Olympus
Camera Model:
DP74
Shutter Speed:
31/25000 sec
Metering Mode:
Multi-Spot
Gallery RSS
|
Archive View
|
Login
|
Powered by
Zenphoto