Table of Contents



Washington University Experience | NEOPLASMS (EMBRYONAL) | Medulloblastoma, Histologically Defined | Classic Subtype | 13C2 Medulloblastoma (Case 13C) EM 1 - Copy

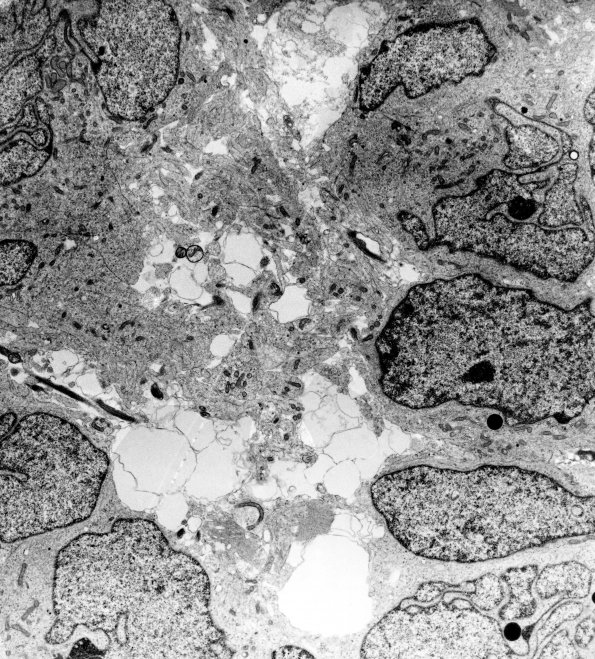
13C2 Medulloblastoma (Case 13C) EM 1 - Copy
Primitive cells surround neuroblastic processes.


Gallery RSS RSS Feed | Archive View | Login | Powered by Zenphoto