Table of Contents
Washington University Experience | NEOPLASMS (EMBRYONAL) | Medulloblastoma, Histologically Defined | Classic Subtype | 15A4 Medulloblastoma, Re-Entry (Case 15) 2.jpg
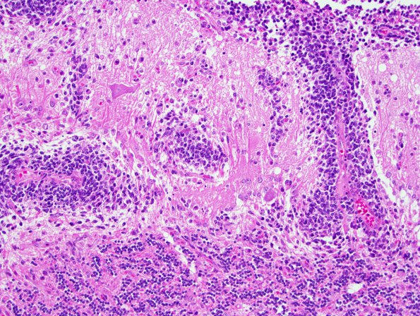
The tumor involves the cerebellum with subarachnoid tumor infiltration and involvement of Virchow-Robin spaces, so-called “tumor reentry”.
