Table of Contents
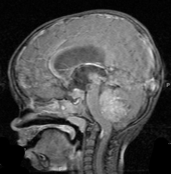
Washington University Experience | NEOPLASMS (EMBRYONAL) | Medulloblastoma, Histologically Defined | Classic Subtype | 4A Medulloblastoma (Case 4) T1 W 3 - Copy - Copy
Case 4 History ---- [2yo female who presented with frequent vomiting with weight loss and ataxia. MRI showed a large posterior fossa mass centered in the fourth ventricle with severe hydrocephalus]. ---- 4A This sagittal T1-weighted contrast administered scan shows patchy enhancement.
