Table of Contents
Washington University Experience | NEOPLASMS (EMBRYONAL) | Medulloblastoma, Histologically Defined | Classic Subtype | 9A1 Medulloblastoma (Case 9) FLAIR 1 - Copy
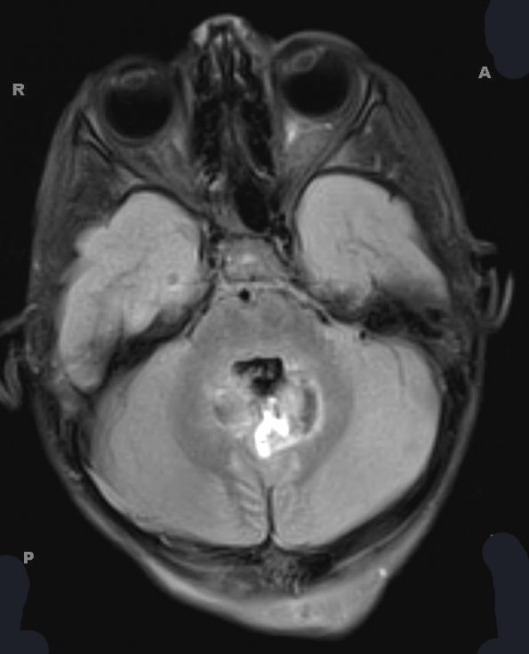
Case 9 History ---- [4yo male with a posterior fossa mass. Operative procedure: Craniotomy for excision of posterior fossa tumor.] ---- 9A1-3 MRI studies: --- 9A1 This FLAIR image shows a hyperintense variegated mass in the cerebellum.
