Table of Contents
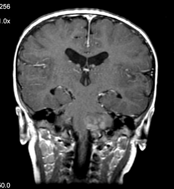
Washington University Experience | NEOPLASMS (EMBRYONAL) | Medulloblastoma, Histologically Defined | Extensive Nodularity (MBEN) | 1A2 Medulloblastoma, extensively nodular (Case 1) MRI 1 - Copy
MRI studies of T1-weighted contrast applied scans have a prominent nodular appearance.
