Table of Contents
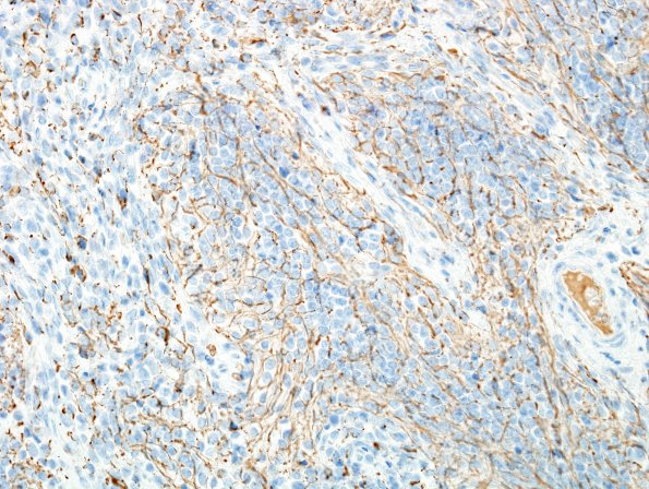
Washington University Experience | NEOPLASMS (EMBRYONAL) | Medulloblastoma, Histologically Defined | Extensive Nodularity (MBEN) | 1E2 Medulloblastoma, nodular (Case 1) GFAP 2.jpg
The pale islands also show weak reactivity for glial fibrillary acidic protein (GFAP), which is largely absent in the stromal tissue.
