Table of Contents
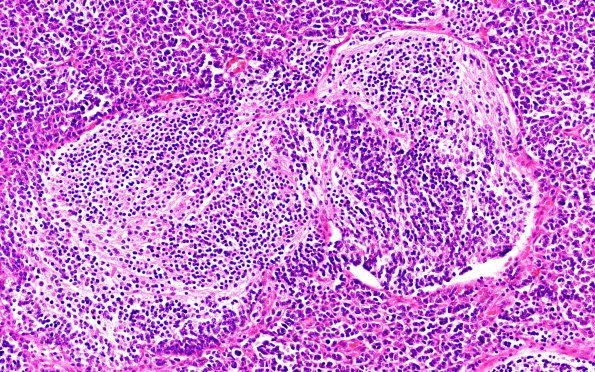
Washington University Experience | NEOPLASMS (EMBRYONAL) | Medulloblastoma, Histologically Defined | Extensive Nodularity (MBEN) | 3A5 Medulloblastoma (Case 3) H&E 20X
Higher magnification of one of the pale islands shows maturing neurocytes and neuropil. (H&E)
