Table of Contents
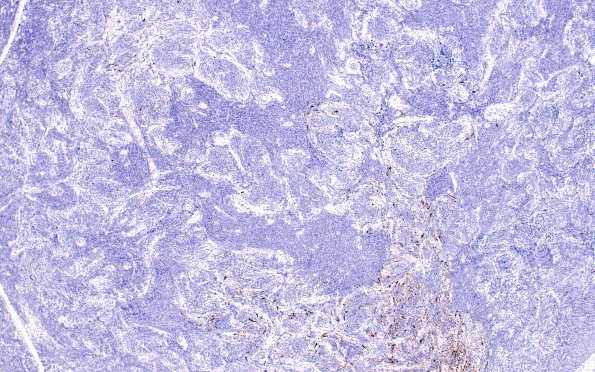
Washington University Experience | NEOPLASMS (EMBRYONAL) | Medulloblastoma, Histologically Defined | Extensive Nodularity (MBEN) | 3C1 Medulloblastoma, desmoplastic (Case 3) GFAP 4X
3C1,2 Small numbers of GFAP immunoreactive astrocytes are found in the junction between dense cellular and pale nodular elements. (GFAP IHC)
