Table of Contents
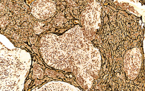
Washington University Experience | NEOPLASMS (EMBRYONAL) | Medulloblastoma, Histologically Defined | Extensive Nodularity (MBEN) | 3D4 Medulloblastoma (Case 3) Retic 20X
Higher magnification shows the pale areas with neuronal differentiation to be devoid of reticulin while the surrounding primitive areas are rich in reticulin fibers, a feature that is typically seen in D/N and MBEN desmoplastic medulloblastomas. (Reticulin)
