Table of Contents
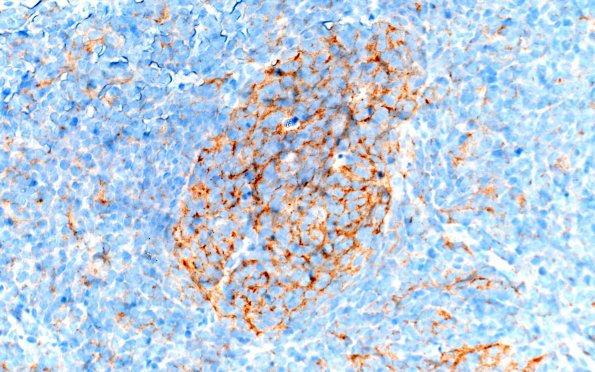
Washington University Experience | NEOPLASMS (EMBRYONAL) | Medulloblastoma, Histologically Defined | Extensive Nodularity (MBEN) | 4B Medulloblastoma, desmoplastic-nodular (Case 4) SYN 40X 2
Focal cytoplasmic reactivity for synaptophysin is more robust in the pale nodular areas where it stains neuropil and cell bodies. (SYN IHC).
