Table of Contents
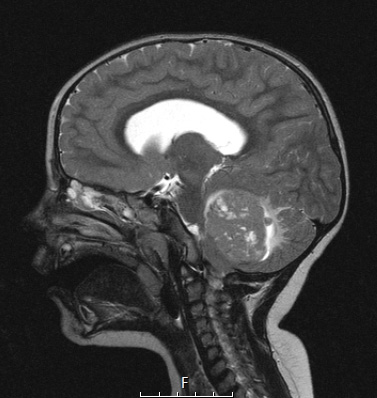
Washington University Experience | NEOPLASMS (EMBRYONAL) | Medulloblastoma, Histologically Defined | Extensive Nodularity (MBEN) | 5A2 Medulloblastoma, Desmoplastic (Case 5) T2 1 - Copy
5A2,3 T2-weighted images show numerous nodular hyperintense foci.
