Table of Contents
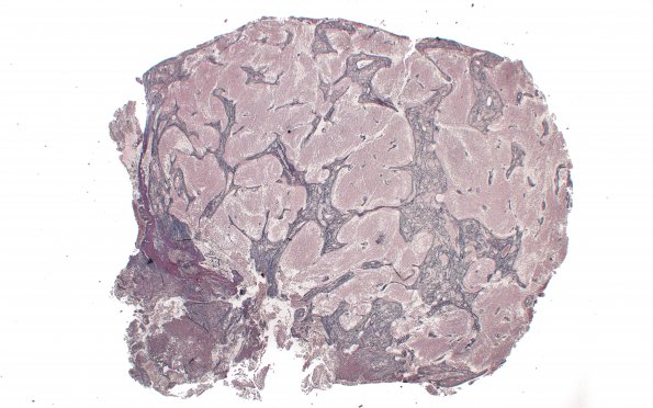
Washington University Experience | NEOPLASMS (EMBRYONAL) | Medulloblastoma, Histologically Defined | Extensive Nodularity (MBEN) | 5E1 Medulloblastoma, Desmoplastic (Case 5) Retic 2X 2
5E1-3 The internodular proliferative areas are reticulin-rich compared with the nodular pale areas which are distinctively devoid of reticulin.
