Table of Contents
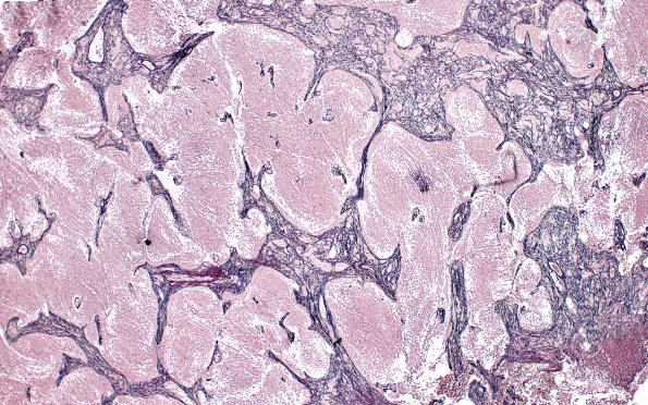
Washington University Experience | NEOPLASMS (EMBRYONAL) | Medulloblastoma, Histologically Defined | Extensive Nodularity (MBEN) | 5E2 Medulloblastoma, Desmoplastic (Case 5) Retic 4X 12
The internodular proliferative areas are reticulin-rich compared with the nodular pale areas which are distinctively devoid of reticulin.
