Table of Contents
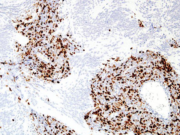
Washington University Experience | NEOPLASMS (EMBRYONAL) | Medulloblastoma, Histologically Defined | Extensive Nodularity (MBEN) | 5F3 Medulloblastoma, Desmoplastic (Case 5) MIB 3
The MIB-1 labeling index in the internodal regions is markedly elevated in distinction to the minimal activity in nodules. (Ki67 IHC)
