Table of Contents
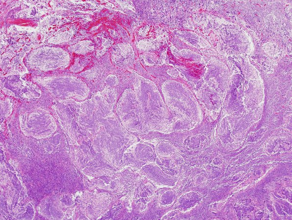
Washington University Experience | NEOPLASMS (EMBRYONAL) | Medulloblastoma, Histologically Defined | Extensive Nodularity (MBEN) | 6B2 Medulloblastoma, desmoplastic (Case 6) H&E 1
This is a malignant, embryonal tumor of the cerebellum with a nodular architecture composed of pale islands surrounded by more densely packed cells with hyperchromatic, pleomorphic nuclei, high mitotic activity and numerous apoptotic bodies. Cells within the nodules have a more uniform appearance with round, regular nuclei and decreased nuclear:cytoplasmic ratio in a delicate fibrillary background, consistent with neuropil. Many of these cells appear cytologically consistent with neurocytes. (H&E)
