Table of Contents
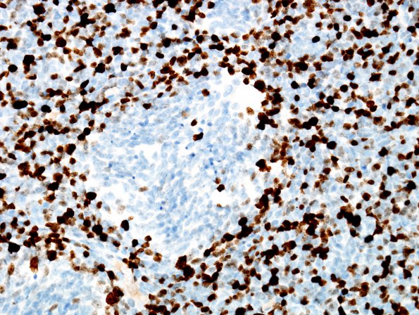
Washington University Experience | NEOPLASMS (EMBRYONAL) | Medulloblastoma, Histologically Defined | Extensive Nodularity (MBEN) | 8E3 Medulloblastoma, desmoplastic (Case 8) MIB 2
Immunostaining for Ki- 67 shows numerous proliferating cells in the internodal tumor but fewer in the nodules themselves.
