Table of Contents
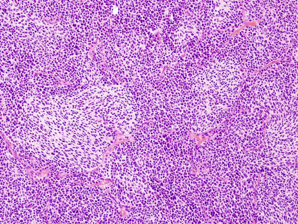
Washington University Experience | NEOPLASMS (EMBRYONAL) | Medulloblastoma, Histologically Defined | Extensive Nodularity (MBEN) | 9B4 Medulloblastoma, desmoplastic focal anaplasia (Case 9) H&E 4
This is a high-grade small round blue cell tumor arranged in a prominent biphasic, micronodular pattern. The pale nodules have fewer mitoses, more of a neurocytic look, and significant neuropil compared to the internodal cells which are primitive with small amounts of cytoplasm, a high proliferative index and nuclear molding. (H&E)
