Table of Contents
Washington University Experience | NEOPLASMS (EMBRYONAL) | Medulloblastoma, Histologically Defined | Extensive Nodularity (MBEN) | 9G3 Medulloblastoma, desmoplastic focal anaplasia (Case 9) MIB 2
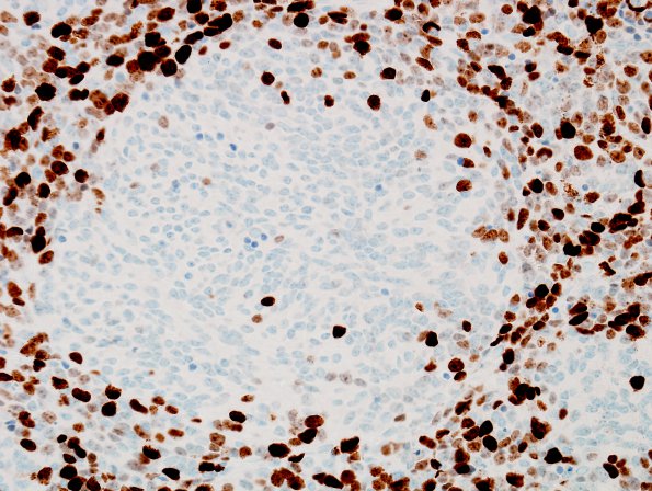
The Ki-67 labeling index, however, is higher in internodular areas than in the nodular areas. ---- Not shown: A NeuN stain is positive in a rare cell. In addition, FISH was performed to look for n-myc and c-myc amplifications and isochromosome 17. In this case, only polysomies of chromosomes 2, 8 and 17 were noted. These findings are non-specific.
