Table of Contents
Washington University Experience | NEOPLASMS (GLIAL) | Angiocentric glioma | 8A1 Angiocentric glioma (Case 8) FLAIR W 2 A
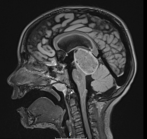
Case 8 History ---- The patient is a 4-year-old male presenting with gait difficulty and papilledema who was found to have ventriculomegaly and a peripherally enhancing tectal mass. Operative procedure: Suboccipital craniotomy for tumor resection. ---- 8A1,2 A large peripherally hyperintense tectal mass is shown in sagittal and coronal views in these FLAIR scans.
