Table of Contents



Washington University Experience | NEOPLASMS (GLIAL) | Angiocentric glioma | 8A2 Angiocentric glioma (Case 8) FLAIR W A

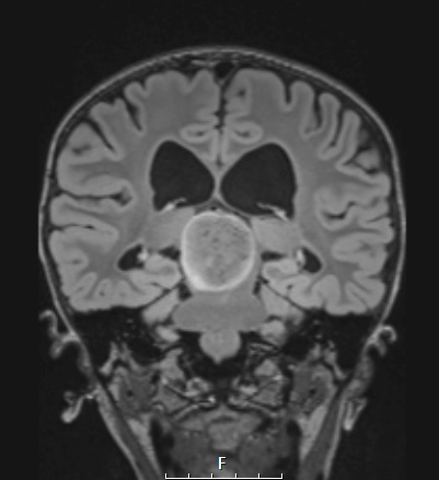
8A2 Angiocentric glioma (Case 8) FLAIR W A
A large peripherally hyperintense tectal mass is shown in coronal view in this FLAIR scans.


Gallery RSS RSS Feed | Archive View | Login | Powered by Zenphoto