Table of Contents
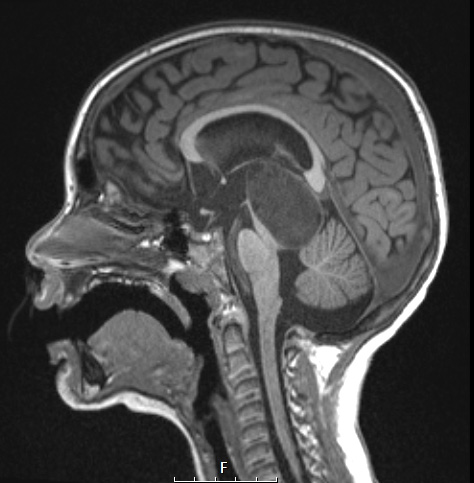
Washington University Experience | NEOPLASMS (GLIAL) | Angiocentric glioma | 8A3 Angiocentric glioma (Case 8) T1 MPRAGE NoC Sagittal
8A3,4 The tumor is hypointense in this T1-weighted scan (8A3) and fails to enhance with contrast (8A4).
