Table of Contents



Washington University Experience | NEOPLASMS (GLIAL) | Angiocentric glioma | 8A4 Angiocentric glioma (Case 8) T1 MPRAGE W A

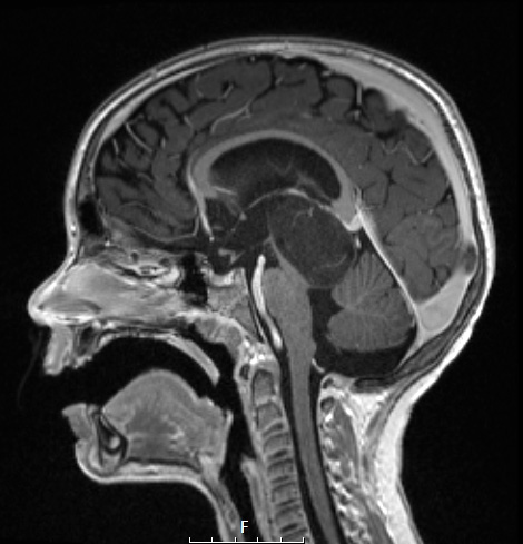
8A4 Angiocentric glioma (Case 8) T1 MPRAGE W A
The tumor is hypointense and fails to enhance with contrast.


Gallery RSS RSS Feed | Archive View | Login | Powered by Zenphoto