Table of Contents
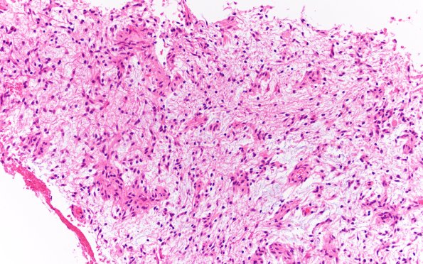
Washington University Experience | NEOPLASMS (GLIAL) | Angiocentric glioma | 8B1 Angiocentric glioma (Case 8) H&E 20X 3
8B1-4 H&E sections show a moderately hypercellular glial neoplasm with piloid features. The cells are small with spindled morphology and bland monomorphic nuclei. The tumor cells aggregate around vessels in an angiocentric pattern. (H&E)
