Table of Contents
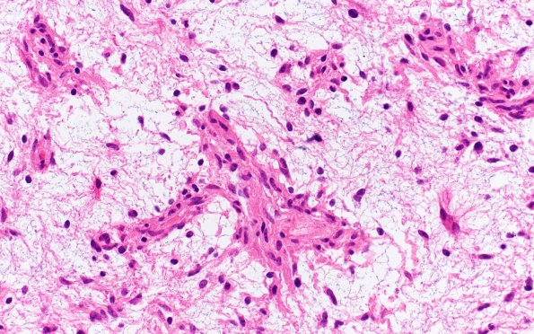
Washington University Experience | NEOPLASMS (GLIAL) | Angiocentric glioma | 8B3 Angiocentric glioma (Case 8) H&E 40X 2
The cells are small with spindled morphology and bland monomorphic nuclei. The tumor cells aggregate around vessels in an angiocentric pattern. (H&E)
