Table of Contents
Washington University Experience | NEOPLASMS (GLIAL) | Angiocentric glioma | 8B4 Angiocentric glioma (Case 8) H&E 40X 1
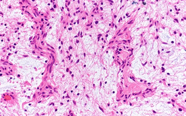
The cells are small with spindled morphology and bland monomorphic nuclei. The tumor cells aggregate around vessels in an angiocentric pattern. (H&E)
