Table of Contents
« prev
next »
Washington University Experience
|
NEOPLASMS (GLIAL)
|
Angiocentric glioma
|
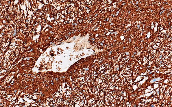
8C3 Angiocentric glioma (Case 8) GFAP 40X 3
GFAP is strongly and diffusely positive. It shows numerous perivascular pseudorosettes. (GFAP IHC)
Image Info
Camera Maker:
Olympus
Camera Model:
DP74
Shutter Speed:
1/200 sec
Metering Mode:
Multi-Spot
Gallery RSS
|
Archive View
|
Login
|
Powered by
Zenphoto