Table of Contents
« prev
next »
Washington University Experience
|
NEOPLASMS (GLIAL)
|
Angiocentric glioma
|
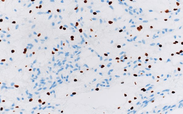
8D2 Angiocentric glioma (Case 8) Olig2 40X
Olig2 is patchy positive in tumor cell nuclei. (Olig2 IHC)
Image Info
Camera Maker:
Olympus
Camera Model:
DP74
Shutter Speed:
29/6250 sec
Metering Mode:
Multi-Spot
Gallery RSS
|
Archive View
|
Login
|
Powered by
Zenphoto