Table of Contents
Washington University Experience | NEOPLASMS (GLIAL) | Angiocentric glioma | 8E1 Angiocentric glioma (Case 8) D2-40 20X 3
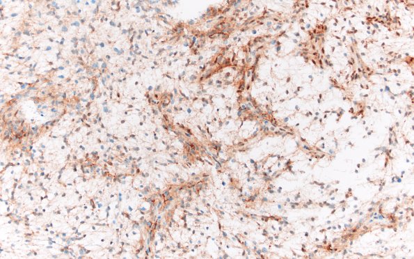
8E1-4 D2-40 stains tumor cells diffusely, especially the concentrated elements adjacent to the vasculature. (D2-40 IHC)
