Table of Contents
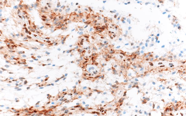
Washington University Experience | NEOPLASMS (GLIAL) | Angiocentric glioma | 8E2 Angiocentric glioma (Case 8) D2-40 40X 2
D2-40 stains tumor cells diffusely, especially the concentrated elements adjacent to the vasculature. (D2-40 IHC)
