Table of Contents
« prev
next »
Washington University Experience
|
NEOPLASMS (GLIAL)
|
Angiocentric glioma
|
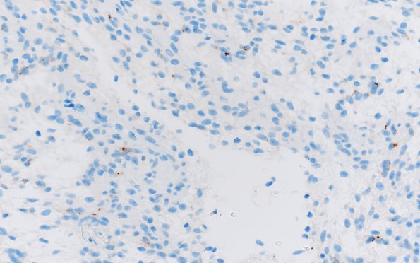
8F2 Angiocentric glioma (Case 8) EMA 40X 3
A subpopulation of tumor cells shows dot-like perinuclear EMA immunoreactivity. (EMA IHC)
Image Info
Camera Maker:
Olympus
Camera Model:
DP74
Shutter Speed:
27/6250 sec
Metering Mode:
Multi-Spot
Gallery RSS
|
Archive View
|
Login
|
Powered by
Zenphoto