Table of Contents
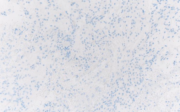
Washington University Experience | NEOPLASMS (GLIAL) | Angiocentric glioma | 8K Angiocentric glioma (Case 8) IDH1 20X 2
Mutant IDH1(R132H) is negative. (IDH1[R132H]) ---- Not shown: ATRX is retained. P53 shows wild-type staining pattern. Alcian Blue/PAS stain shows glial tissue with a small amount of mucinous material. BRAF V600E IHC is negative. ---- Comment: Analysis by Foundation One showed the presence of a MYB-QKI fusion gene, the primary driver mutation in this tumor type, and the key molecular feature characteristic of this tumor.
