Table of Contents
« prev
next »
Washington University Experience
|
NEOPLASMS (GLIAL)
|
Astroblastoma
|
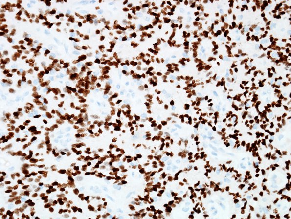
8C2 Astroblastoma, anaplastic vs GBM (Case 8) Olig2.jpg
8C1,2 The tumor is also strongly immunoreactive for OLIG2 in tumor cell nuclei.
Image Info
Camera Maker:
Olympus Corporation
Camera Model:
DP70
Original Time Taken:
08-08-2014
Shutter Speed:
1/330 sec
ISO Sensitivity:
200
Metering Mode:
Spot
Gallery RSS
|
Archive View
|
Login
|
Powered by
Zenphoto