Table of Contents
« prev
next »
Washington University Experience
|
NEOPLASMS (GLIAL)
|
Astrocytoma, IDH-mutant, WHO Grade 4
|
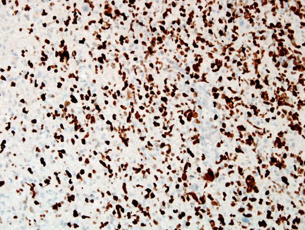
1D2 IDHmut Astro Gr4 (Case 1) area A p53 2.jpg
The tumor cells show strong reactivity for p53 (>50% of nuclei).
Image Info
Camera Maker:
Olympus Corporation
Camera Model:
DP70
Original Time Taken:
12-11-2016
Shutter Speed:
1/1000 sec
ISO Sensitivity:
200
Metering Mode:
Spot
Gallery RSS
|
Archive View
|
Login
|
Powered by
Zenphoto