Table of Contents
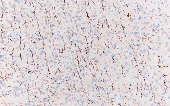
Washington University Experience | NEOPLASMS (GLIAL) | Astrocytoma, IDH-mutant, WHO Grade 4 | 6D IDH mutant R132H (Case 6) NF 20X
Neurofilament immunoreactivity demonstrates the infiltrative nature of the tumor. (NF IHC) ---- Not shown: The cells are negative for p53 and Ki-67 highlights <5% of the tumor cells. ---- A concurrent FISH study is negative for 1p/19q co-deletion, BRAF rearrangement, 10q/monosomy 10 deletion and fails to show EGFR amplification. These morphologic, immunophenotypic and cytogenetic features best support the diagnosis of glioblastoma, IDH1 R132H mutant by immunohistochemistry, WHO grade 4.
