Table of Contents
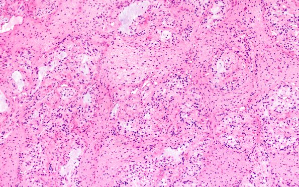
Washington University Experience | NEOPLASMS (GLIAL) | Astrocytoma, pilocytic - Gross Pathology | 3B2 Astrocytoma, Pilocytic, Optic Nerve (Case 3) A2 H&E 10X
3B2-4 The classic appearance of a pilocytic astrocytoma consists of a biphasic mixture of microcystic areas and more solid piloid regions. (H&E)
