Table of Contents
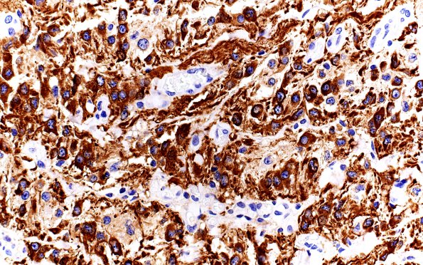
Washington University Experience | NEOPLASMS (GLIAL) | Astrocytoma, pilocytic - Gross Pathology | 3C3 Astrocytoma, Pilocytic, Optic Nerve (Case 3) A3 GFAP 40X
3C3,4 Sections of the tumor show prominent staining of individual glioma elements. (GFAP IHC)
