Table of Contents
« prev
next »
Washington University Experience
|
NEOPLASMS (GLIAL)
|
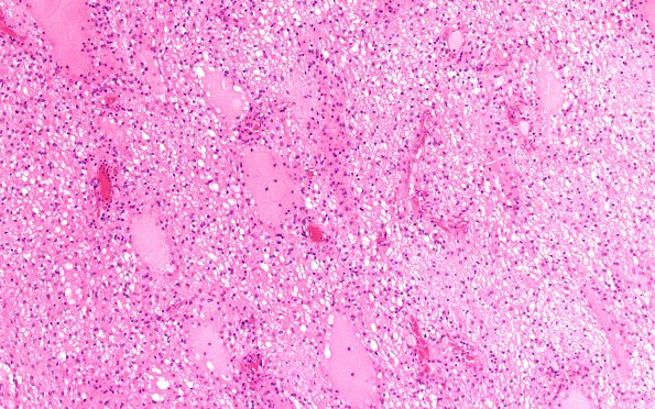
Astrocytoma, pilocytic - Gross Pathology
|
6B3 (Case 6) H&E scan 10X
Higher magnification image shows a biphasic appearance with microcysts (H&E)
Image Info
Camera Maker:
Olympus
Camera Model:
DP74
Shutter Speed:
7/12500 sec
Metering Mode:
Multi-Spot
Gallery RSS
|
Archive View
|
Login
|
Powered by
Zenphoto