Table of Contents
Washington University Experience | NEOPLASMS (GLIAL) | Astrocytoma, pilocytic - Gross Pathology | 7D2 Astrocytoma, pilocytic, optic nerve (Case 7) Trichrome 4.jpg
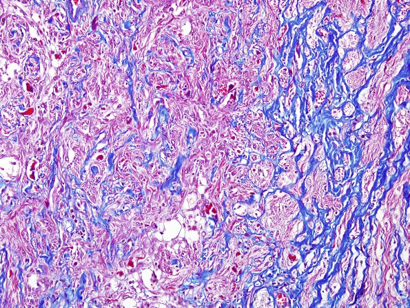
The portion of the intraneural and intradural sleeve are separated and invaded as shown in this trichrome stain for collagen.
