Table of Contents
Washington University Experience | NEOPLASMS (GLIAL) | Astrocytoma, pilocytic - Microscopic | 10A1 Astrocytoma, pilocytic (Case 10) T1W 2 - Copy
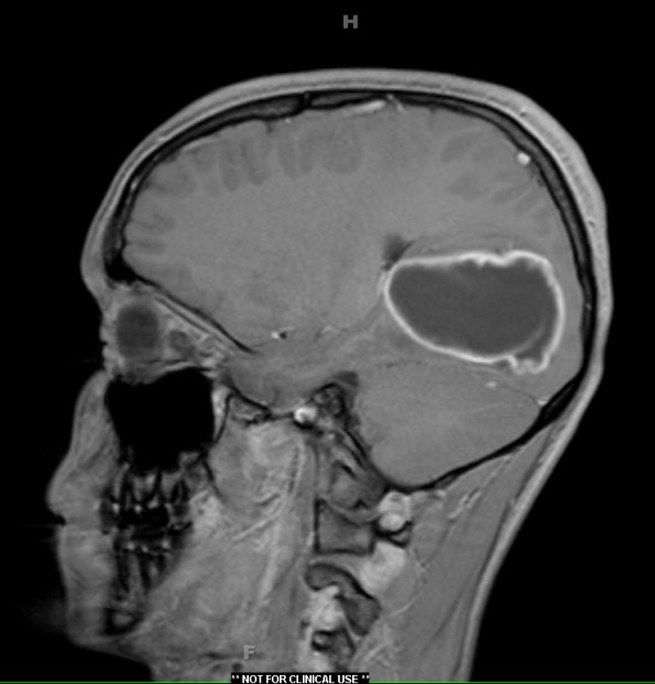
Case 10 ---- 15 year old male, left occipital lobe (no BRAF rearrangement by FISH BRAF preparation) ---- Cystic occipital lobe tumor enhancement demonstrated by T1-weighted image with contrast.
