Table of Contents
« prev
next »
Washington University Experience
|
NEOPLASMS (GLIAL)
|
Astrocytoma, pilocytic - Microscopic
|
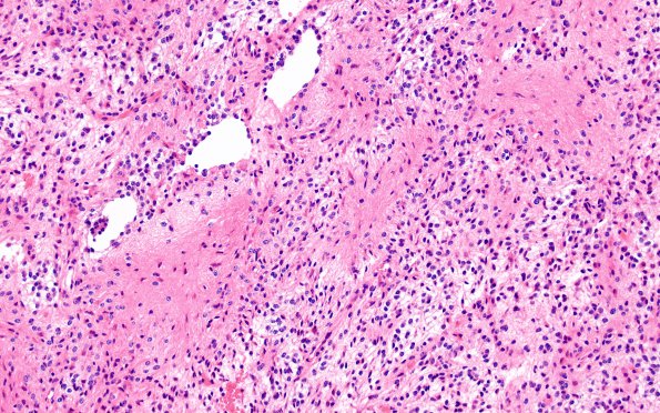
1B1 Astrocytoma, pilocytic (Case 1) H&E 6
A low magnification image shows a biphasic fibrillary and microcystic pattern (H&E)
Image Info
Camera Maker:
Olympus
Camera Model:
DP74 #1
Shutter Speed:
25/18797 sec
Metering Mode:
Multi-Spot
Gallery RSS
|
Archive View
|
Login
|
Powered by
Zenphoto