Table of Contents
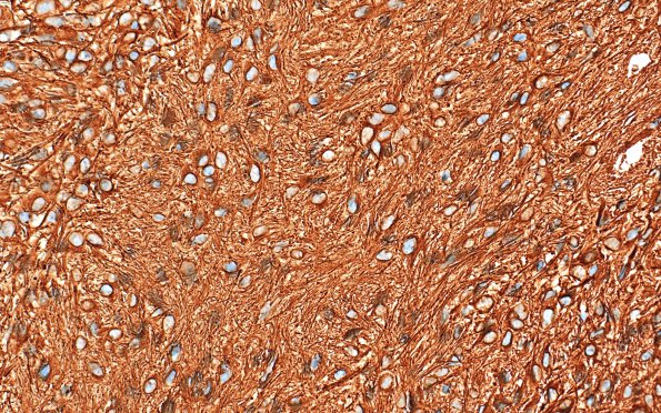
Washington University Experience | NEOPLASMS (GLIAL) | Astrocytoma, pilocytic - Microscopic | 1C1 Astrocytoma, pilocytic (Case 1) GFAP 2
1C1-3 GFAP immunohistochemistry not only demonstrates the piloid nature of the tumor cells but the unlabeled proliferated vessels stand out as well. (GFAP IHC)
