Table of Contents
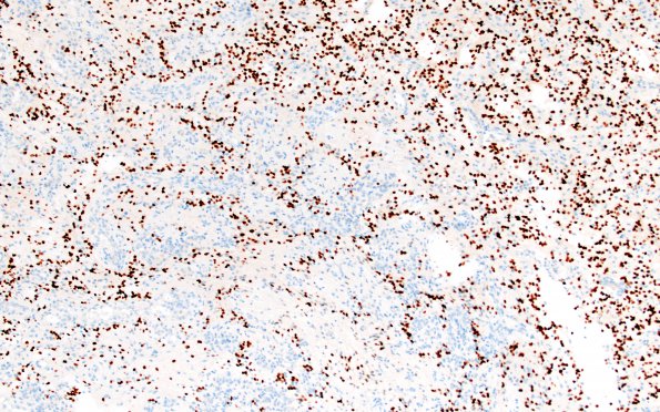
Washington University Experience | NEOPLASMS (GLIAL) | Astrocytoma, pilocytic - Microscopic | 1D2 Astrocytoma, pilocytic (Case 1) Olig2 10X 2
Tumor cell nuclei stain with olig2 immunhistochemistry sparing the microvasculature (Olig2 IHC)
