Table of Contents
Washington University Experience | NEOPLASMS (GLIAL) | Astrocytoma, pilocytic - Microscopic | 22A1 Astrocytoma, pilocytic (Case 22) T1 - Copy
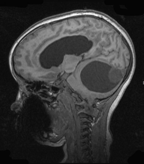
Case 22 ---- 7 year old female, cerebellum (No BRAF FISH fusion test available at WUSM) ----22A1-3 MRI examination of this cyst with mural nodule in the cerebellum is shown for T1-weighted scan (22A1), T1-weighted with contrast image (22A2) and T2-weighted with contrast (22A3)
