Table of Contents
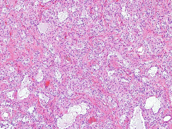
Washington University Experience | NEOPLASMS (GLIAL) | Astrocytoma, pilocytic - Microscopic | 22B1 Astrocytoma, pilocytic (Case 22) H&E 4
22B1,2 Basic histologic appearance showing biphasic pattern and numerous Rosenthal fibers (H&E)
