Table of Contents



Washington University Experience | NEOPLASMS (GLIAL) | Astrocytoma, pilocytic - Microscopic | 22B2 Astrocytoma, pilocytic (Case 22) H&E 2

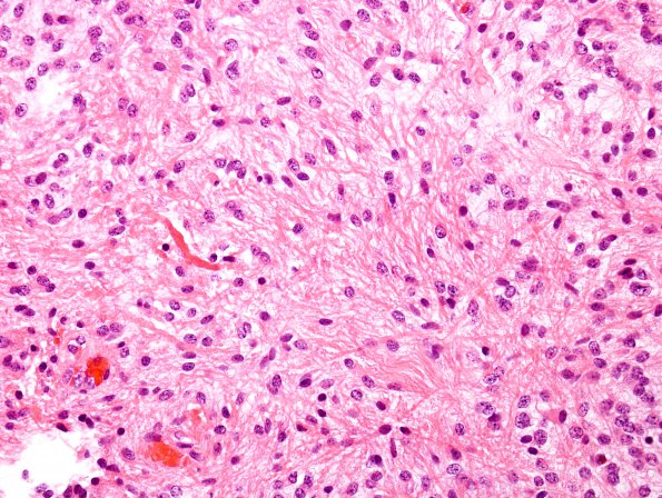
22B2 Astrocytoma, pilocytic (Case 22) H&E 2
Basic histologic appearance showing biphasic pattern and numerous Rosenthal fibers (H&E)


Gallery RSS RSS Feed | Archive View | Login | Powered by Zenphoto