Table of Contents
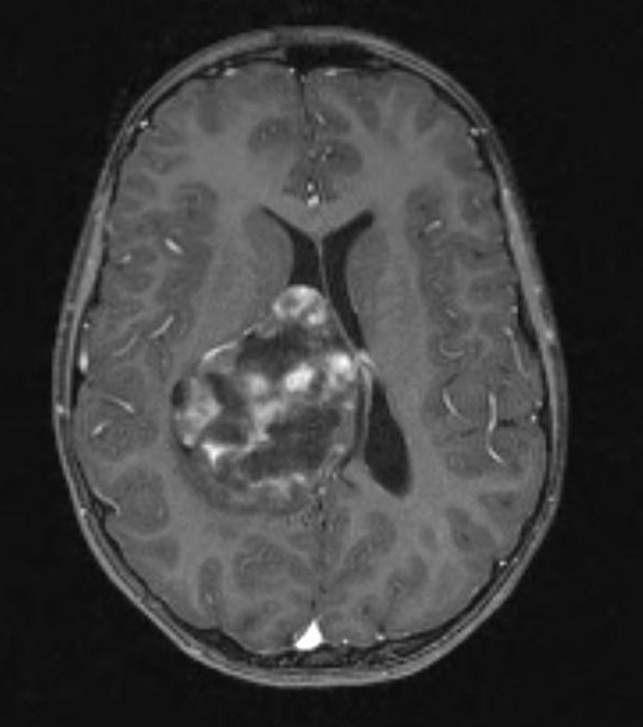
Washington University Experience | NEOPLASMS (GLIAL) | Astrocytoma, pilocytic - Microscopic | 24A1 Astrocytoma, pilocytic (Case 24) T1 W 3 - Copy
Case 24 ---- 11 year old female, right lateral ventricle (No BRAF FISH test at this time at WUSM) ---- 24A1,2 MRI studies include T1-weighted (24A1) scan and T2-weighted
