Table of Contents



Washington University Experience | NEOPLASMS (GLIAL) | Astrocytoma, pilocytic - Microscopic | 24E Astrocytoma, pilocytic (Case 24) Trichrome 4

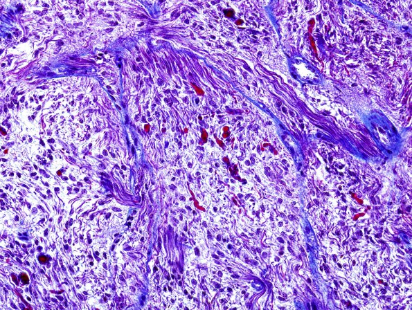
24E Astrocytoma, pilocytic (Case 24) Trichrome 4
Trichrome stains Rosenthal fibers a striking red color.


Gallery RSS RSS Feed | Archive View | Login | Powered by Zenphoto