Table of Contents
« prev
next »
Washington University Experience
|
NEOPLASMS (GLIAL)
|
Astrocytoma, pilocytic - Microscopic
|
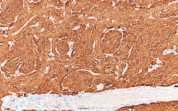
29C (Case 29) GFAP 20X
Piloid GFAP-immunoreactive tumor cells and unstained proliferated vessel (GFAP IHC)
Image Info
Camera Maker:
Olympus
Camera Model:
DP74
Shutter Speed:
23/22549 sec
Metering Mode:
Multi-Spot
Gallery RSS
|
Archive View
|
Login
|
Powered by
Zenphoto