Table of Contents
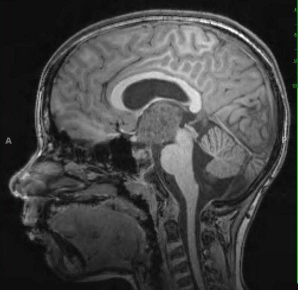
Washington University Experience | NEOPLASMS (GLIAL) | Astrocytoma, pilocytic - Microscopic | 38A1 Astrocytoma, pilocytic (Case 38) T1 MPRage - Copy
Case 38 ---- 11 year old male, III ventricle/hypothalamus ---- 38A1,2 MRI examination included T1 MPRAGE (38A1) and T2-weighted with contrast scans (38A2)
